We Can See You Today
Dental pain does not wait and neither should you. At Grand Mission Dentistry, Dr. William Sung and our team hold same-day emergency appointments every day for patients in pain. Whether you have a broken tooth, a throbbing toothache, a lost crown, a swollen jaw, or a tooth that has been knocked out, call us first. We will get you in, assess what is happening, and relieve your pain as quickly as possible.

Is This a Dental Emergency?
Not sure whether you need same-day care or whether it can wait? Use this guide.
What to Do Before You Arrive
These first steps can make a significant difference in your outcome and your comfort before we see you.
Rinse with warm salt water. Take over-the-counter pain medication as directed. Do not place aspirin directly on the gum or tooth. Call us immediately.
Rinse with warm salt water. Take over-the-counter pain medication as directed. Do not place aspirin directly on the gum or tooth. Call us immediately.
Pick up the tooth by the crown only, never the root. Rinse gently without scrubbing. Store in milk, saline, or between your cheek and gum. Get to us within 30 to 60 minutes. Time is critical.
Do not attempt to drain the abscess yourself. Rinse with warm salt water to reduce bacteria. Take over-the-counter pain medication as directed. Come in immediately. Do not wait.
If you have the crown, try to reposition it temporarily using dental cement from a pharmacy or toothpaste as a temporary adhesive. Do not use super glue. Call us and come in same day.
Apply firm pressure with gauze or a clean cloth. Bite down and maintain continuous pressure for 20 to 30 minutes without lifting to check. If bleeding does not slow after 30 minutes, go to an emergency room while calling us.
How Much Does Emergency Dental Care Cost?
| Service | Estimated Cost Range | Notes |
|---|---|---|
| Emergency exam and X-rays | $150 to $300 | Credited toward same-day treatment |
| Tooth bonding repair | $200 to $600 | Chips and minor fractures |
| Crown recementation | $75 to $200 | Existing crown reattachment |
| Emergency root canal | $700 to $1,500 | Depends on tooth type |
| Emergency extraction | $150 to $400 | Simple extraction |
| Dental abscess drainage | $150 to $350 | Often combined with root canal |
What Happens When You Call Grand Mission for an Emergency

Call or Book Online
Call (281) 789-8836 immediately. Our team will assess your situation over the phone, advise you on what to do before you arrive, and schedule you for the earliest same-day appointment available.
Arrival and Assessment
You are seen as quickly as possible. Dr. Sung examines the emergency area, takes targeted X-rays, and identifies exactly what is happening and what treatment is needed.
Pain Relief First
Local anesthesia is administered immediately to relieve your pain before any treatment discussion begins. Sedation is available if needed. You will not sit in pain while we talk.
Treatment and Plan
The immediate emergency is addressed. If additional treatment is needed beyond the same-day appointment, Dr. Sung walks you through the full plan, timeline, and cost before you leave.
why patients Calls grand mission dentistry First
Grand Mission holds emergency appointment slots every day for patients in pain. Extended hours Monday through Wednesday until 7 to 8pm and Saturday until 3pm mean you are never left waiting until the next available regular appointment.
Emergency dental work when you are already in pain and anxious requires extra comfort. Grand Mission offers sedation options for emergency procedures so you stay relaxed and comfortable throughout treatment.
Root canals, extractions, crowns, abscesses, and broken tooth repair are all available at Grand Mission. You are never referred elsewhere for emergency treatment. Dr. Sung handles the full scope of emergency care in house.

Dr. William Sung DMD

Dr. Tam Nguyen DMD
.webp)
Dr. Van Nguyen DDS
Flexible Financing for Every Budget

We accept most major PPO dental insurance plans and welcome HSA and FSA payments. For costs beyond coverage, flexible financing through Cherry offers 0% APR options for qualified patients, making it easy to break treatment into manageable monthly payments.

$189
.webp)
FREE
Frequently Asked Questions About emergency dentistry
Severe tooth pain, a knocked-out or broken tooth, uncontrolled bleeding, facial swelling, and an abscess are all signs that you need immediate care. We've put together a detailed guide on the 6 most common signs of a dental emergency so you can recognize when to act fast. Not sure if your situation qualifies? Read our breakdown of what counts as a dental emergency.
Yes. We reserve time in our schedule specifically for urgent cases because we know emergencies can't wait. Learn more about our same-day emergency appointments and how quickly we can get you into the chair. Understanding the importance of immediate dental care can make the difference between saving or losing a tooth.
Knowing what to expect helps reduce stress during an emergency. Read these interesting facts about emergency dentistry so you're prepared if an urgent situation arises. Being informed about the process, costs, and common treatments will help you stay calm.
An emergency exam and X-rays typically range from $150 to $300 at Grand Mission, credited toward same-day treatment. We give you a clear cost estimate before any procedure begins. Most PPO insurance plans contribute toward emergency care costs.
Yes. Sedation options are available for emergency procedures at Grand Mission. Call when you book and let us know you would like sedation so we can prepare appropriately.
Call (281) 789-8836. Our extended hours include Monday through Wednesday until 7 to 8pm and Saturday until 3pm. For true after-hours emergencies, our voicemail provides guidance and we will contact you as soon as we open.


4 Things You Should Never Do When Experiencing a Dental Emergency

Dental Emergency? We Can See You Today
Emergency Treatments Available Same Day

Root Canal Therapy
The most common treatment for an infected or severely painful tooth. Dr. Sung performs root canal therapy in house with same-day pain relief available.

Dental Crowns
Broken or cracked teeth requiring crown protection are evaluated and temporized same day at Grand Mission with permanent crown placement scheduled immediately.

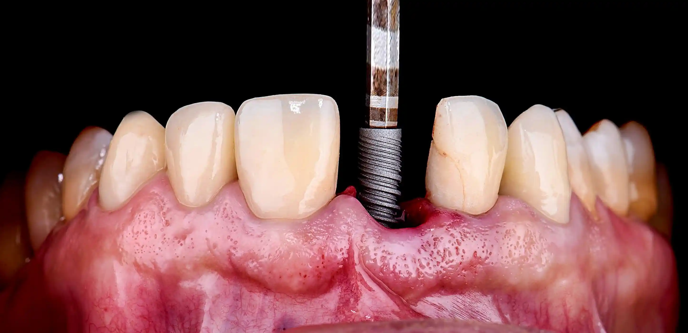
Dental Implants
Dental pain does not wait and neither should you. Call Grand Mission right now and our team will get you in today. Same-day appointments are held every day for patients who need immediate care.
Your confident smile
Is our guide
Schedule your appointment today
Experience dental care that puts your comfort, confidence, and health first. We're here to make dental visits feel like your home away from home.
.webp)
