All-on-X Dental Implants in Richmond, TX

All-on-X at Grand Mission
All-on-X uses four to six strategically placed implants to support a complete fixed arch of teeth permanently. No removable dentures, no adhesives, no daily removal. The implants fuse with your jawbone and the final restoration looks, feels, and functions like natural teeth. Patients leave their procedure day with a full set of temporary fixed teeth and return for their permanent restoration once healing is complete. Dr. William Sung performs the full scope of All-on-X treatment in house, from initial 3D evaluation through final placement.

How All-on-X Compares to Your Other Options
| All-on-X Implants | Traditional Dentures | Implant Supported Dentures | |
|---|---|---|---|
| Bone Preservation | ✅ Stimulates bone, prevents loss | ❌ Accelerates bone loss | ⚠️ Slows but does not stop loss |
| Chewing Power | ✅ Up to 90% of natural bite force | ❌ 20 to 25% of natural | ⚠️ Better than dentures |
| Stability | ✅ No movement, fully secure | ❌ Slips and shifts | ⚠️ Improved with implants |
| Adhesives Required | ✅ Never | ❌ Yes | ❌ Yes for some |
| Lifespan | ✅ Decades with proper care | ❌ 5 to 7 years before replacement | ⚠️ Longer with implants |
| Facial Structure | ✅ Fully preserved | ❌ Collapses over time | ⚠️ Partial support |
| Cost Over 10 Years | ✅ Most cost-effective long term | ❌ Replacement and relining costs add up | ⚠️ Moderate long-term cost |
What Living With Failing Teeth or Dentures Is Actually Costing You
Every month spent in a removable denture is a month your jawbone is shrinking. The consequences are measurable.
Health Risk Sources
- Van der Weijden F, Dell'Acqua F, Slot DE. "Alveolar bone dimensional changes of post-extraction sockets in humans: a systematic review." Journal of Clinical Periodontology vol. 36,12 (2009): 1048-1058. https://pubmed.ncbi.nlm.nih.gov/22211303/
- Malo P, de Araujo Nobre M, Lopes A, et al. "The All-on-4 treatment concept for the rehabilitation of the completely edentulous mandible: A longitudinal study with 10 to 18 years of follow-up." Clinical Implant Dentistry and Related Research (2019). doi:10.1111/cid.12769. https://pubmed.ncbi.nlm.nih.gov/30924309/
- Gotfredsen K, Walls AWG. "What dentition assures oral function?" Clinical Oral Implants Research vol. 18 Suppl 3 (2007): 34-45. https://pmc.ncbi.nlm.nih.gov/articles/PMC4146723/
- Nobel Biocare. "All-on-4 Treatment Concept: Clinical Evidence Summary." https://www.nobelbiocare.com/en-int/all-on-4-treatment-concept
Are You a Candidate for All-On-x?
Are missing most or all of your teeth in one or both arches
Have failing, severely decayed, or compromised teeth
Wear dentures that slip, cause sore spots, or limit what you can eat
Have moderate bone loss but sufficient anterior bone density
Have significant uncontrolled gum disease or active infection
Have severe bone loss that requires grafting before implant placement
Have uncontrolled diabetes, heavy tobacco use, or conditions affecting healing
Have had previous implant failure that needs to be evaluated and resolved first
The All-on-X Process at Grand Mission
Comprehensive 3D Evaluation
Dr. Sung uses cone beam CT scanning to map your bone density, jaw anatomy, and nerve locations in precise detail. This imaging guides every decision about implant placement before surgery begins.
Extractions and Same-Day Implant Placement
Any remaining failing teeth are removed and the four to six implants are placed in a single procedure. The angled posterior implants are positioned to maximize contact with your strongest available bone.
Temporary Fixed Teeth on the Same Day
A temporary full arch prosthesis is attached to the implants on the day of surgery. You leave with a complete set of fixed teeth, not a removable denture, fixed in place from day one.
Osseointegration
Over three to six months the titanium implants fuse with your jawbone. This biological process is what gives All-on-X its permanent stability and bone-preserving properties.
Final Permanent Restoration
Once osseointegration is confirmed your custom permanent prosthesis is fabricated and attached. Designed to match your facial structure, bite, and aesthetic goals precisely.
How Much Does All-on-X Cost in Texas?
Most PPO plans cover $1,000 to $3,000 toward Invisalign. HSA and FSA accepted. Monthly financing available through Cherry at 0% APR, CareCredit, Alphaeon, and Lending Club. Most patients pay between $150 and $250 per month.
| Treatment | Estimated Cost Per Arch | Notes |
|---|---|---|
| All-on-4 with acrylic prosthesis | $18,000 to $25,000 | Most common entry option |
| All-on-4 with zirconia prosthesis | $25,000 to $35,000 | Premium material, more natural look |
| All-on-6 with zirconia prosthesis | $28,000 to $40,000 | Additional implants for complex cases |
| Both arches combined | $35,000 to $70,000+ | Varies significantly by case |
why patients choose grand mission dentistry for All-on-X
Full In-House All-on-X Care
Every step of your treatment, from cone beam CT imaging and surgical planning through implant placement and final restoration, is performed by Dr. Sung at Grand Mission. No separate oral surgeon, no prosthodontist referral.
PRF Therapy for Faster
Grand Mission offers PRF therapy using your own concentrated blood platelets to accelerate healing and improve bone integration around your implants, reducing post-operative discomfort and improving long-term outcomes.
Sedation for the Full Procedure
All-on-X surgery is performed with sedation options ranging from oral sedation to deeper comfort levels. You stay completely comfortable throughout the entire procedure.
Real Faces. Real Smile Previews. Real Confidence.
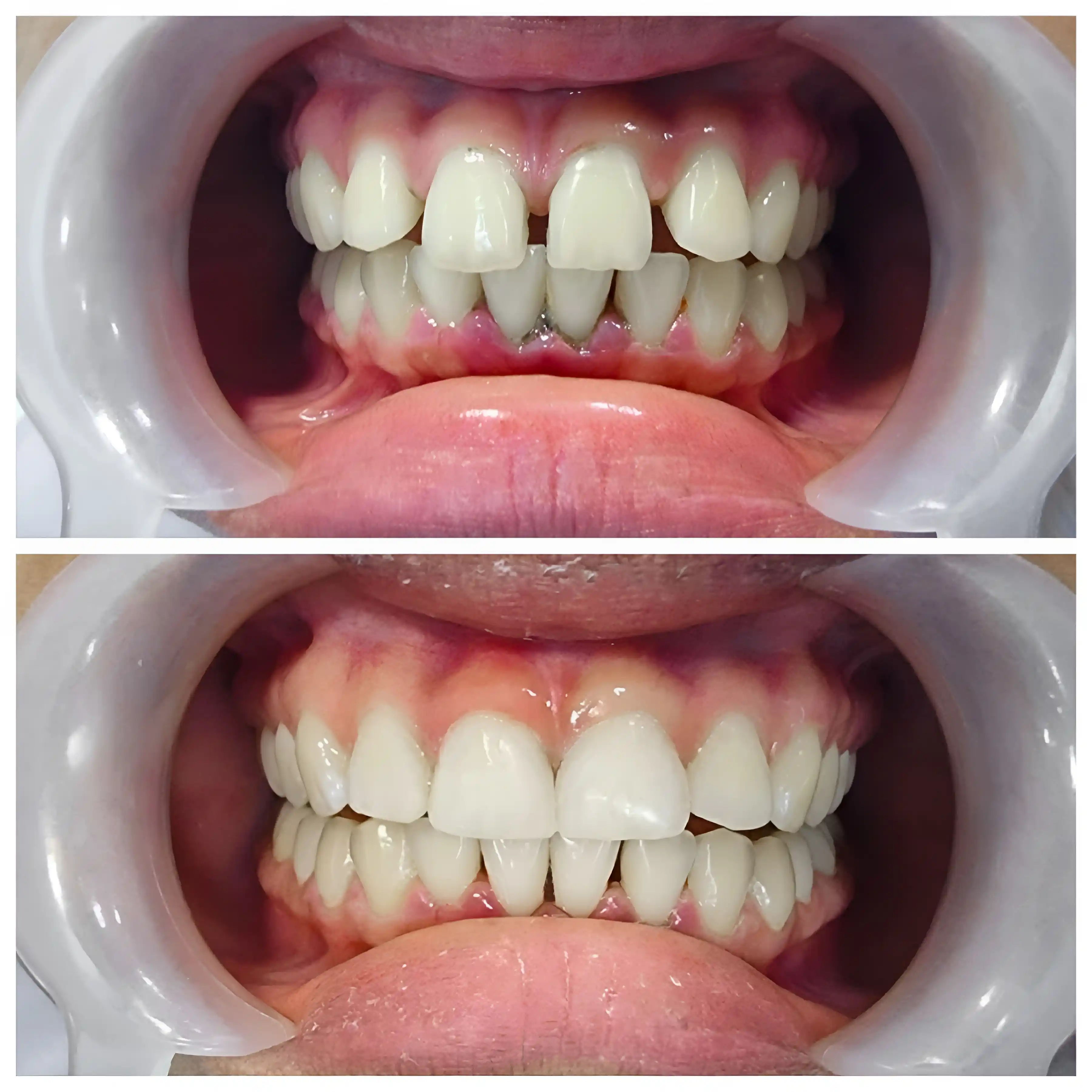
Before

After

Before

After

How a Virtual Preview Works
1
Upload a clear face photo showing your smile is all we need.
2
Our dental team uses advanced software to generate a personalized smile simulation.
3
You'll get an image showing how your smile can look after treatment.

Dr. William Sung DMD

Dr. Tam Nguyen DMD
.webp)
Dr. Van Nguyen DDS
Flexible Financing for Every Budget

We accept most major PPO dental insurance plans and welcome HSA and FSA payments. For costs beyond coverage, flexible financing through Cherry offers 0% APR options for qualified patients, making it easy to break treatment into manageable monthly payments.

$189
.webp)
FREE
Frequently Asked Questions About All-On-X
Yes. A temporary fixed prosthesis is attached on the day of surgery. You leave with a complete set of teeth secured to the implants. Not removable. Fixed in place from day one.
Most patients missing most or all of their teeth are candidates, including many with moderate bone loss. The angled posterior implants engage denser anterior bone, often eliminating the need for grafting. Patients with uncontrolled gum disease, active infection, uncontrolled diabetes, or heavy tobacco use may need preparatory treatment first. Dr. Sung evaluates your specific anatomy with 3D imaging and gives you an honest assessment before recommending anything.
All-on-4 uses four implants to support a full arch. All-on-6 uses six and is recommended for patients who need additional support due to bone density, arch size, or bite force requirements. Dr. Sung recommends the configuration that gives you the best long-term outcome for your specific anatomy.
In most cases yes. For more severe bone loss, PRF therapy and bone grafting may be recommended first. Dr. Sung evaluates your specific anatomy to determine what preparation, if any, is needed.
Most cases range from $18,000 to $35,000 per arch. Grand Mission offers 0% APR financing with most patients paying $500 to $1,200 per month.


Cost vs. Value: Was My Full-Mouth Dental Implant Investment Worth It?

Why Bone Grafts Are Sometimes Needed Before Implants

Unveiling the Benefits of All-on-Four Dental Implants – Grand Mission Dentistry
Related Services
Your confident smile
Is our guide
Schedule your appointment today
Experience dental care that puts your comfort, confidence, and health first. We are here to make every visit feel like home away from home.
.webp)


